|
|||||||||||||||||||||||||||
|
|
Newsletters for MDs What Technology has Brought Dentistry New technology is constantly increasing the quality of services we can offer. Many of the improvements are invisible to the patient (a better filling material, or a new shape to an instrument). Recently we have added several new machines and computer programs, allowing a significant increase in the accuracy of our services. Spectrographic Color Analysis: A recent addition to the office is a spectrograph to analyze a tooth’s color. Trying to match the shade of tooth has been an art form with so many variables that success has always been out of our control. The SpectroShade system takes up to 1500 different shades of a tooth and creates a map for the laboratory. After constructing the crown, the laboratory checks the color on their system, before returning the tooth. The results have been amazing.
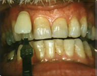
A second benefit of the computer program that drives this system, is its’ ability to compare the same tooth to itself. The example to your left shows a tooth before and after bleaching. We can also compare a tooth to artificial shades to get an idea of the difference a possible color change would bring.
CAT Scan Analysis for Implants: Though we have been planning difficult implant cases by placing implants on CAT Scans for years, recent advances in the computer programs have resulted a level of planning never possible. With the aid of a template showing the location of the teeth, I can place the implant (in red), the tooth supporting second stages (in yellow), or plan for adding bone via grafting. The template is then converted into a guide for the placement of the implants to insure the best cosmetic and functional results possible.
Computerized Occlusal Analysis: Excessive force can destroy a restoration, cause muscle pain (TMD, Tempromandibular Dysfunction), or just be an annoyance for a patient. Sometimes the unwanted forces are difficult to find, and all I can see are a series of marks on the teeth, not knowing which of these marks represent unwanted forces. The TekScan occlusal analysis creates a computer generated movie of the forces being generated, showing the basic location and degree of force. By very minor adjustments to the teeth, the forces can be better equalized and a more harmonious bite achieved.
BriteSmile Tooth Whitening: I have been looking for a safe and effective one step tooth whitening system for years, and have finally found it. The BriteSmile system is so effective and has so few side effects that I now feel good about offering this service in the office. Developed by a head of the Hubble Telescope design team, this is so well thought out that anyone can lighten the color of their teeth in a little over an hour of sitting peacefully in the office. By the way, the case shown below is my mouth.
|
||||||||||||||||||||||||||
| All of our Services | Cosmetic Dentistry | Implant Dentistry | Crowns & Bridges | Snoring & Sleep Apnea Dentures | Extreme Makeovers | Doctor's Credentials | Map & Policies | Contact Us Home | Professional Referrals | Tidbits for Dentists | Newsletters for MDs |
|||||||||||||||||||||||||||
Website Designed by: Monmouth Web Developers
|
|||||||||||||||||||||||||||